潍坊市第二人民医院完成首例气管支架、肺动脉覆膜支架同期植入术

Connor 抹茶交易所 2025-11-14 1 0

近日,67岁的李大爷由外院120急救车转运至医院,躺在转运车上的他面色发青,每一次呼吸都显得无比费力,“喘不上气,胸口像压着一块大石头”,是他当时的切身感受。

一年前,李大爷在当地医院确诊为右肺鳞癌,因为身体原因未能接受规范的抗肿瘤治疗,随着肿瘤的进展李大爷出现了胸闷、呼吸困难等症状,晚上睡觉时只能趴在床上,连平躺都是一种奢望,当地医院检查时发现,李大爷的气管和肺动脉因为肿瘤的压迫出现了变得非常狭窄,这是导致他呼吸困难的罪魁祸首。面对棘手问题,当地主管医生了解到潍坊市第二医院(潍坊呼吸病医院)介入科主任贺光辉是这方面的专家,迅速联系,对患者实施转院。

“这相当于同时扼住了‘呼吸道’和‘血管通路’,是导致李大爷濒临呼吸衰竭的直接原因。”接诊的医院介入科副主任高志解释到,中央气道是空气进出肺部的“主干道”,一旦狭窄,病人便会出现呼吸困难、窒息感,而肺动脉是心脏向肺部泵送血液进行氧气交换的“唯一途径”,如果被压迫变窄,病人全身的氧气供应会受到严重影响。二者同时发生,病情呈几何级数恶化,传统内科治疗手段回天乏术,外科手术则因肿瘤侵犯风险极高。

多学科协作:实施“双轨”救援方案

面对这一严峻挑战,一场与时间赛跑的生命救援迅速启动,由医院介入科、呼吸与危重症医学科、麻醉科组成的多学科诊疗团队紧急集结。会诊室专家们审阅着影像资料上触目惊心的狭窄部位,深知这是一个“牵一发动全身”的极高风险手术。麻醉是第一项挑战,患者基础状况差,在气道严重狭窄下进行插管全麻,本身就可能引发窒息。经过周密论证,一个大胆而精细的“双轨救援”方案最终确定:通过麻醉,分别为患者施行“气管支架置入术”和“肺动脉覆膜支架置入术”,用微创的方式一次性打通两条核心生命通道。

潍坊市第二人民医院完成首例气管支架、肺动脉覆膜支架同期植入术

介入手术室里,一场无声的战役打响。麻醉科主任闫华凭借高超技术,成功为患者通气建立安全通路,为手术的实施奠定基石。介入科主任贺光辉带领团队细致操作,将一枚Y形气管支架在X线引导下输送至预定位置后精准释放,原本被肿瘤挤压得只剩一丝缝隙的气道被稳稳地撑开。紧接着一枚肺动脉覆膜支架置入到受压变窄的右肺动脉主干内并准确释放,再次造影,使得右肺动脉血流迅速得到改善。

潍坊市第二人民医院完成首例气管支架、肺动脉覆膜支架同期植入术

展开全文

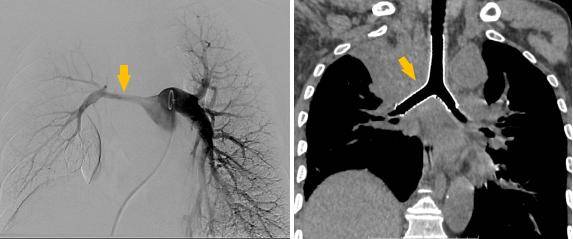
术前受压变窄的右肺动脉和中央气道

潍坊市第二人民医院完成首例气管支架、肺动脉覆膜支架同期植入术

手术过程

潍坊市第二人民医院完成首例气管支架、肺动脉覆膜支架同期植入术

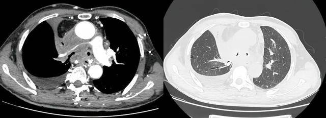
同期置入支架后狭窄明显改善

重生:从呼吸困难到畅快呼吸

术后李先生的喘憋症状显著缓解:“那种窒息的恐惧感消失了,我终于能躺下睡个安稳觉了。”为平稳度过危险期,李大爷转至重症医学科接受高级别生命支持与治疗。经过短暂的术后观察,李先生各项生命体征平稳,活动耐量明显改善,顺利出院。

潍坊市第二人民医院完成首例气管支架、肺动脉覆膜支架同期植入术

手术的成功为李先生赢得了至关重要的“时间窗口”,通过后续的抗肿瘤治疗,可以为延长生命、提高生活质量带来转机。“这台手术的意义,不仅在于成功挽救了患者的生命,”贺光辉表示,“对于以往认为无计可施的恶性肿瘤终末期患者,通过多学科协作和新技术应用,我们能够化被动为主动,积极处理严重并发症,为病人后续抗肿瘤治疗创造机会。置入的气管支架和肺动脉支架,架起的不仅是生命的通道,更是通往未来治疗希望的桥梁。”

这场生命“双轨”的惊心救援,充分展现了现代医学在微创介入领域的新进展,以及多学科团队协作应对复杂危重病症的强大优势,标志着医院在处理晚期恶性肿瘤复杂急症领域达到了新的高度。

评论